
La Asociación Europea de Lógica Difusa y Soft Computing (EUSFLAT) ha premiado en su reunión bienal, celebrada la semana pasada en Milán, el trabajo de investigación presentado por el Grupo de Inteligencia Artificial y Razonamiento Aproximado (GIARA) de la Universidad Pública de Navarra.
Los investigadores han desarrollado un método que mejora la delimitación de los tumores en imágenes médicas. Según explican, “cuando el médico decide por dónde debe separar el tejido tumoral del tejido sano, nuestro algoritmo le da la garantía de que nunca va a escoger la peor de las posibilidades porque, de manera automática, le ofrece una solución mejorada”.
Los autores del trabajo han sido Aránzazu Jurío, Miguel Pagola, Daniel Paternain, Nicolás Madrid y Humberto Bustince. Su investigación compitió con más de 200 trabajos presentados al Congreso, de los que se preseleccionaron 16 y, posteriormente, los tres finalistas: Universidad Pública de Navarra, Universität Marburg de Alemania y Ghent University de Bélgica.
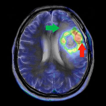
El trabajo se centra en el estudio de imágenes de cerebros obtenidas a través de resonancia magnética. En concreto, han desarrollado un algoritmo para mejorar el proceso de segmentación de imágenes. “Mediante la segmentación —explica Aránzazu Jurío— se separa cada uno de los objetos que forman parte de la imagen. Se analiza cada píxel de manera que todos los que tengan ciertas características en común, se consideran parte del mismo objeto”. En el caso de las imágenes médicas, este proceso es fundamental para la delimitación de tumores donde, si pensamos en zonas como el cerebro, tres milímetros de diferencia pueden marcar la diferencia entre la curación o afectar zonas como el habla o la vista.
Para comprender el funcionamiento del algoritmo que los investigadores han desarrollado, Humberto Bustince utiliza el siguiente paralelismo: “imaginemos que tenemos, por resonancia magnética, la imagen de un cerebro y siete médicos que deben decidir cómo delimitar el tumor. Por experiencia, sabemos que cada uno de ellos separará el tumor de manera distinta. Ahora, con el método propuesto, automáticamente van a tener una serie de opciones que, en cualquier caso, siempre van a mejorar la elección que hubiera hecho el peor de los siete. Hemos conseguido mejorar al peor, lograr que aunque escojan la peor elección, se equivoquen lo menos posible”.

Un glioblastoma múltiple, el más común y maligno de los tumores cerebrales. (Fuente: SOM Biotech)
En tiempo real
Otro de los factores a los que los expertos en inteligencia artificial tienen que enfrentarse es al de las variaciones temporales, puesto que las imágenes médicas varían en el tiempo y, en muchas ocasiones, en un breve espacio temporal. “Todos estos algoritmos permiten la aplicación en tiempo real, ya que lo que puede ser útil para una imagen en un momento dado, puede no serlo pasado un tiempo”, explica el profesor Bustince.
En ese sentido, Aránzazu Jurío hace hincapié en que “el algoritmo que hemos desarrollado hace una especie de consenso entre las distintas funciones para obtener una mejor solución. Digamos que le quita un proceso de elección al experto porque es el algoritmo el que, automáticamente, elige la función”.
“El problema —abunda Daniel Paternain— es que para una imagen concreta hay una serie de funciones que el experto puede utilizar, pero si al hacer la segmentación se equivoca de función, el resultado podría ser muy malo. Lo que intentamos solucionar es eso: que si se equivoca de función, el resultado no sea malísimo”.
En el Congreso EUSFLAT 2013, en Milán del 11 al 13 de septiembre, han participado más de 300 investigadores procedentes de toda Europa que trabajan en Lógica Fuzzy, Soft Computing y sus aplicaciones. Humberto Bustince, catedrático de Computación e Inteligencia Artificial, fue además el encargado de impartir una de las tres conferencias plenarias: “Procesamiento y clasificación de imágenes utilizando extensión de conjuntos difusos. Primeros éxitos”.
_________________________________
UPNA
El Colegio Oficial de Graduados e Ingenieros Técnicos Industriales de Madrid (COGITIM) ha presentado hoy el VIII Barómetro Industrial de la Comunidad de Madrid 2025, elaborado por el COGITI-Cátedra Internacional COGITI de Ingeniería y Política Industrial (UCAM), con la colaboración del Consejo General de Economistas de España (CGE). El estudio, realizado con la participación de ...
El próximo 15 de abril se celebrará en el Espacio Beatriz de Madrid (C. de José Ortega y Gasset, 29) el ‘III Foro de Innovación Industrial Marítima 2026’, una cita de referencia para el ecosistema naval, logístico, tecnológico y de defensa bajo el lema ‘Tecnologías de Uso Dual para la Autonomía Estratégica Europea’.
Más información
E&M Combustión ha desarrollado un sistema contenerizado de caldera de biogás para producir agua caliente, que se empleará en el calentamiento del digestor de una planta de biogás en la localidad de Artajona, Navarra, y cuya finalidad es la producción de biometano.
Este sistema térmico contenerizado forma parte de una instalación completa ...
La Universidad de Valladolid y el Clúster de Hábitat Eficiente de Castilla y León, AEICE, han presentado la Cátedra ‘Construyendo un Hábitat de Vanguardia’, la primera que existe en España para conectar a los universitarios con las necesidades reales de talento en el sector, con el objetivo de contribuir a la mejora competitiva de la ...
Prosolia Energy, destacado Productor Independiente de Energía (IPP), ha cerrado 380 millones de euros en financiación para apoyar el desarrollo de su cartera global, que incluye activos de energía fotovoltaica, eólica y almacenamiento con baterías. Este importante hito de financiación representa un avance significativo en los planes de expansión de la compañía y proporciona una ...
En cumplimiento de la Ley de Servicios de la Sociedad de la Información y de Comercio Electrónico (LSSI) y en adecuación con la Directiva Europea 2009/136/CE, le informamos de la utilización de cookies en la presente web con el fin de facilitar y mejorar la navegación a los usuarios.
Una cookie es un fichero que se descarga en su ordenador al acceder a determinadas páginas web. Las cookies permiten a una página web, entre otras cosas, almacenar y recuperar información sobre los hábitos de navegación de un usuario o de su equipo y, dependiendo de la información que contengan y de la forma en que utilice su equipo, pueden utilizarse para reconocer al usuario.
Puede usted permitir, bloquear o eliminar las cookies instaladas en su equipo mediante la configuración de las opciones del navegador instalado en su ordenador.
Usted, una vez informado sobre la Política de Cookies, puede aceptar la utilización de las mismas por parte de esta web. Sin embargo, puede cambiar la configuración de cookies en cualquier momento, configurando su navegador para aceptar, o no, las cookies que recibe o para que el navegador le avise cuando un servidor quiera guardar una cookie.
Le informamos que en el caso de bloquear o no aceptar la instalación de cookies, es posible que ciertos servicios no estén disponibles sin la utilización de éstas o que no pueda acceder a determinados servicios ni tampoco aprovechar por completo todo lo que nuestras web le ofrece. Además del uso de cookies propias, permitimos a terceros establecer cookies y acceder a ellas en su ordenador.
Le agradecemos que consienta la aceptación de cookies, esto nos ayuda a obtener datos más precisos que nos permiten mejorar el contenido, así como mejorar la usabilidad de la web.
En caso de que este sitio web prestara algún tipo de servicio especial en el que determine unas previsiones específicas diferentes a éstas en lo relativo a la protección de datos personales y la utilización de cookies, prevalecerán las normas particulares indicadas para ese servicio en particular sobre las presentes.
Al acceder a este sitio web por primera vez verá una ventana donde se le informa de la utilización de las cookies, y donde puede consultar la presente "Política de cookies". Si usted acepta expresamente la utilización de cookies, continúa navegando o hace clic en algún link se entenderá que usted ha consentido nuestra política de cookies y por tanto la instalación de las mismas en su equipo o dispositivo.
Es posible que actualicemos la Política de Cookies de este sitio web, por ello le recomendamos revisar esta política cada vez que acceda al mismo con el objetivo de estar adecuadamente informado sobre cómo y para qué usamos las cookies. La Política de Cookies se actualizó por última vez el 02 de Septiembre de 2013.